Vai al contenuto
Home » Articoli » Tutto news » Il coronavirus attacca così il cervello: lo dice una ricerca (ma occorre approfondire)

Il coronavirus attacca così il cervello: lo dice una ricerca (ma occorre approfondire)

Il virus influenza il sistema nervoso centrale e fa morire le altre cellule.

17 Settembre 2020

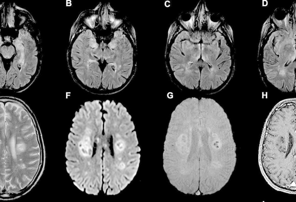
Il Covid-19 è un virus relativamente nuovo di cui si sa ancora poco e gli studiosi stanno cercando di capire se, oltre alle vie respiratorie, possa avere ripercussioni anche su altri organi.

Un recente studio (intitolato “Neuroinvasion of Sars-CoV-2 in human and mouse brain“) condotto da ricercatori inglesi e pubblicato su Brain ha lavorato sull’imaging cerebrale e sui sintomi del paziente per analizzare le possibili ripercussioni del coronavirus sul cervello. La ricerca è stata poi rielaborata e ampliata grazie ad esperimenti sui topi e ad analisi del tessuto cerebrale dei morti con coronavirus.

Secondo questo studio il Covid-19, oltre a comportare cambiamenti metabolici, colpirebbe diversi organi, arrivando al cervello e al sistema nervoso centrale attraverso il bulbo olfattivo, gli occhi o dal flusso sanguigno.

Una volta invase le cellule cerebrali, pare che il virus sia in grado di moltiplicarsi facendo morire le altre cellule: questo tipo di infezione potrebbe essere legata a fattori genetici e alla carica virale del virus. Inoltre, a differenza di altri virus, non innescherebbe una risposta immunitaria per contrastare l’infezione nel cervello.

Va detto che lo studio, come precisato dagli stessi ricercatori, ha bisogno di approfondimenti e ulteriori conferme.

(Credits photo: nytimes.com)