Vai al contenuto
Home » Articoli » Tutto news » La violenza sulle donne raccontata attraverso le radiografie del Pronto Soccorso

La violenza sulle donne raccontata attraverso le radiografie del Pronto Soccorso

La mostra è allestita nell’atrio dell’Ospedale San Carlo di Milano.

22 Novembre 2019

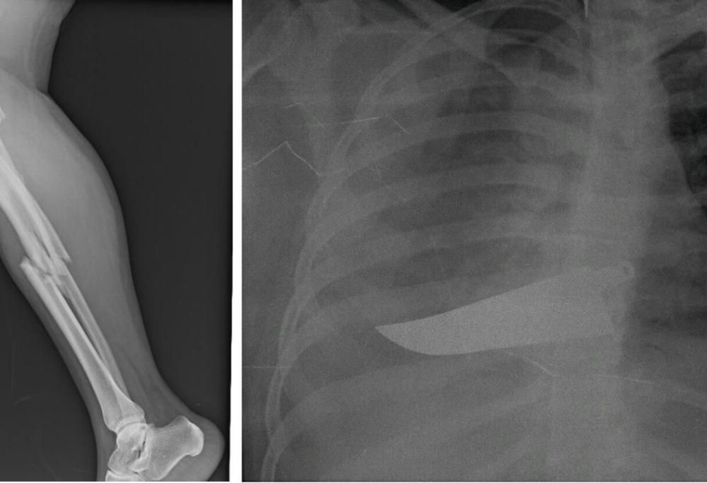
Si intitola significativamente “L’invisibilità non è un superpotere” e racconta il dramma delle donne che arrivano al Pronto Soccorso a seguito di violenze.

La mostra, che parla di questa tragedia silenziosa in modo inedito attraverso le radiografie (anonime) delle vittime di violenza, è stata allestita nell’atrio dell’Ospedale San Carlo di Milano dove resterà visibile fino all′8 dicembre 2019. Organizzata dall’ASST Santi Paolo e Carlo di Milano e dalla Fondazione Pangea Onlus si pone l’obiettivo di portare a galla un problema purtroppo ancora sommerso.

La vice presidente di Pangea, Simona Lanzoni, sottolinea che “vergogna, paura e senso di colpa delle vittime sono tre nemici della battaglia contro la violenza di genere“.

Ma volte è anche la dipendenza economica a generare una subdola forma di ricatto. Per questo la mostra è anche un’occasione per promuovere i progetti di empowerment economico e sociale dell’associazione a supporto delle donne vittime di violenza. Il messaggio è chiaro: “fare rete” per contrastare la violenza e aiutare le donne ad uscire dal silenzio.

Credits photo, mostra: “L’invisibilità non è un superpotere